近期,巴中市恩阳区人民医院胸外科(外一科)再次突破技术难关,成功完成了恩阳区首例“经剑突下入路胸腔镜纵膈肿瘤切除术”,将该院外科微创技术再次推上新的高度。


手术仅用时仅两小时,术中几乎无出血,术后第一天即可下床活动,第二天就拔管出院。你能想象这是一例胸腺瘤患者的肿瘤切除手术吗?

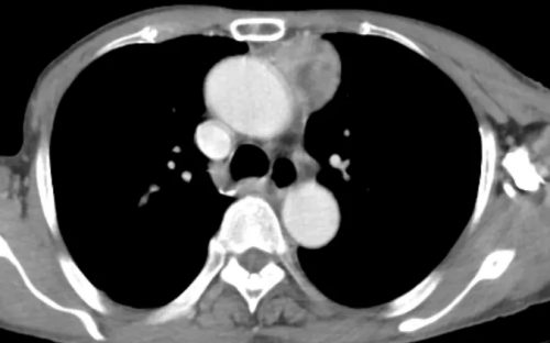
![0S%2LV`H]BLSPXOBOCJ]8AC.png 0S%2LV`H]BLSPXOBOCJ]8AC.png](http://images.china.cn/site1000/2021-09/23/7c460f4f-d378-4f6a-a48f-df2bd05e3025.png)
来自渔溪镇的万大爷,因此前无明显诱因出现胸闷、胸痛,且呼吸时疼痛加重,遂到恩阳区人民医院门诊就医。CT检查提示“纵膈占位”,随即收入胸外科(外一科)住院治疗。科主任陈旭在组织胸外科团队进行充分讨论分析后,拟行难度更大、创伤更小的“经剑突下入路胸腔镜纵膈肿瘤切除术”为患者治疗,并于近期成功实施该手术。 经剑突下入路胸腔镜纵膈肿瘤切除术相较于传统纵膈肿瘤切除术而言,具有术后伤口美观、疼痛减轻、暴露充分、标本易取出等优点。并且能彻底避免手术对肋间神经和肌肉等胸壁组织损伤,较好保持胸壁完整性,降低术后对呼吸功能的影响,缩短了胸管留置体内的时间和患者住院时间,有利于患者快速康复。
![{Q5XBZFD3QE(2(J5]%P~@3F.png {Q5XBZFD3QE(2(J5]%P~@3F.png](http://images.china.cn/site1000/2021-09/23/d2765e73-7fd4-489e-860e-eab62ed03f1b.png)
该例手术的成功实施,标志着恩阳区人民医院在微创技术领域又有了新的突破。长期以来,恩阳区人民医院始终坚持以患者为中心,致力于钻研新技术、开展新业务,更好地应用于临床,让群众患者享受到“大病不出县”的便捷和更高质量的医疗服务。

